Teeth Whitening – State College, PA
Safe, Fast, Effective, and Proven
When you catch a glimpse of your smile in a picture or mirror, do your stained teeth drain your confidence and make you want to hide them? Freshening up your mouth is a great way to rebuild your self-esteem. Instead of investing in endless over-the-counter kits that promise big results without delivering them, choose professional teeth whitening in State College with Dr. Chris Devlin. Whether you have a family reunion, wedding, or important interview coming up, we can give you a visibly whiter smile in a single office visit. Contact us today to learn how cosmetic dentistry in State College can help you bounce back from a yellow-tinted grin.
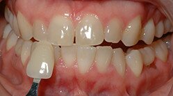
Before
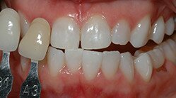
After
Why Are My Teeth Stained?

Unfortunately, stained teeth are a result of years of consuming stain-causing foods and beverages, certain medications, and aging. Additionally, bad oral habits like smoking and poor hygiene can cause your teeth to have a yellow tint. Although you have many store-bought teeth whitening options at your disposal, they’re costly and often don’t deliver the results you’re looking for. That’s why Dr. Devlin offers professional teeth whitening.
What Can You Expect From Professional In-Office Teeth Whitening?

When you visit our office, you’ll get to meet our fantastic team of dental professionals. When you come in for the treatment, we’ll have your appearance refreshed by the time you leave. We’ll prepare your teeth by protecting your gums and oral tissues from the professional, safe, and concentrated bleaching gel we use. This will penetrate the uppermost layers of your teeth without altering your natural tooth structure to tackle stains and discoloration from tobacco use, foods, and beverages.
After you’re finished with treatment, it’s best to avoid consuming foods and drinks with high levels of pigment for the following 24 hours. These include coffee, black tea, soy sauce, tomato-based sauce, yellow mustard, beets, and pretty much anything that would stain a white shirt.
What Are the Benefits of Professional Teeth Whitening?

It can be easy to run to the store and pick a whitening kit off the shelf. The thing is, these aren’t proven to be safe for your mouth, and you’re also taking a gamble on your smile because you won’t know what to expect. Everyone’s grin has potential, and Dr. Devlin looks to unlock it with cosmetic treatments that can correct imperfections like discoloration. Some benefits that patients can enjoy from the procedure include:
- Boost your self-confidence by improving your appearance.
- The most conservative procedure to whiten your teeth.
- Results that are easy to maintain.
- Proven to be safe and effective.
- Fast results.
- Individualized treatment.
How Long Will My Brighter Smile Last?

You want to make the most out of your decision to professional whiten your teeth, so it’s no surprise why you would want to know how long you can expect the results to last. You’ll be happy to know that your whitened smile can last as long as three years when your teeth are properly maintained. Results vary from patient-to-patient depending on factors like whether or not you smoke or maintain routine oral hygiene. To get the most out of your investment, be sure to avoid stain-causing foods and beverages and attend routine checkups and cleanings with Dr. Devlin.